Magic Dent Art studio
A harmonikus fogpótlás itt kezdődik...
Pácienseink kérésének eleget téve megalkottuk a Magic Dent Art studio-t, mely egyelőre Budapesten tud fogadni betegeket.
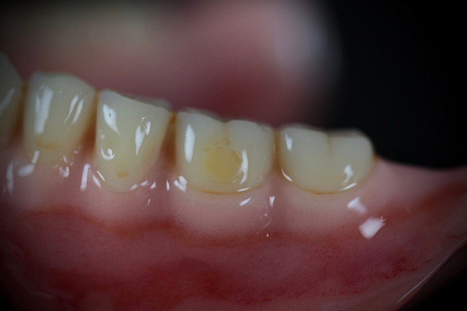
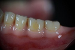
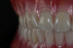
Évek óta készítünk kivehető fogpótlásokat állkapocs ízületi beméréssel, jogos igényként merült fel a kérdés, hogy miért nem tesszük ezt a rögzített fogpótlásokkal is?
Budapesti rendelőnkben elérhetővé tettük ezeket.
Az első alkalom mindig egy 30 perces konzultáció, ami INGYENES!
Ez természetesen semmilyen kötelezettséggel nem jár, ön dönt, hogy később kivel készítteti el a fogpótlását.
Használja ki a lehetőséget, most BEVEZETŐ ÁRON juthat egy rendkívül esztétikus és tartós cirkónium fogpótláshoz!

